¡Seguimos cuidando tu salud! Recuerda: el uso de cubrebocas es obligatorio durante tu estancia en el hospital; con esto evitamos la propagación de enfermedades respiratorias.
Información sujeta a cambio sin previo aviso 31/MAR/2023 PGD
Un espacio para informarles sobre los diferentes exámenes de diagnóstico que se realizan en nuestra Unidad.
La artroresonancia es un método de imagen mini invasivo muy bien tolerado en donde bajo control fluoroscópico y técnica específica con previa asepsia, se realiza una punción intraarticular con aguja muy delgada para depositar solución fisiológica estéril y mínima cantidad de contraste paramagnético con el fin de distender la cápsula articular y así obtener cortes de resonancia magnética en alta resolución con lo que se generan interfaces claras entre los tejidos intra-articulares y se logra la más alta sensibilidad y especificidad.
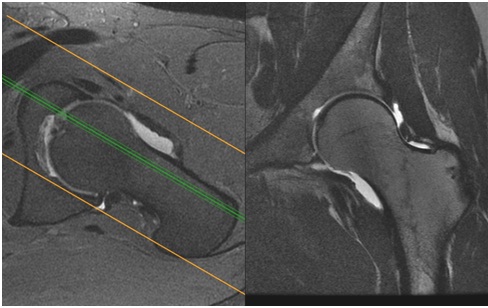
Cadera
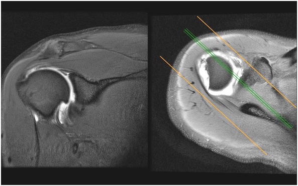
Hombro
En situaciones en la que el médico clínico requiera una información más detallada que las imágenes convencionales de resonancia magnética , algunos ejemplos son:
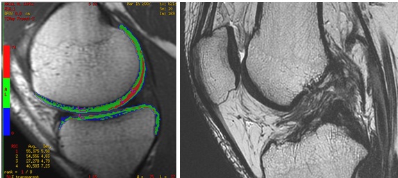
Rodilla
En rodilla es muy raro la necesidad de realizar Artroresonancia, algunos médicos ortopedistas han solicitado este estudio en casos de un meniscos post operados en donde no haya quedado claro de acuerdo al tiempo de evolución si hay tejido de granulación o ruptura.
Este estudio no requiere de preparación previa.
En la unidad de resonancia magnética hemos realizado desde el 2007 hasta la fecha cerca de 500 artroresonancias con excelentes resultados y sin complicaciones.
Actualmente realizamos entre 2-5 estudios semanales, somos de las pocas unidades de resonancia magnética en el país que realizan este método y somos considerados como la Institución de salud con mayor experiencia.
En nuestra unidad hasta la fecha no hemos tenido reporte de complicaciones, sin embargo, la literatura refiere una probabilidad muy baja de infección.
Resonancia convencional. En este ejemplo podemos observar las ventajas del líquido intra-articular en la evaluación intra-articular.

Artroresonancia de cadera

Artroresonancia de hombro

Secuencia Cartigram, T2 FSE rotura del ligamento cruzado anterior

Servicio las 24h.
Le informamos que el ingreso para atención a estudios en horario nocturno (21 a 7 horas) es por el área de Urgencias.